-
Форум
-
Заболевания
-
Кисть
-
Переломы дистального метаэпифиза лучевой кости (Путеводитель по эпонимам)
Переломы дистального метаэпифиза лучевой кости (Путеводитель по эпонимам)
-
Emik
-
Автор темы
-
Не в сети
-
Живу я здесь
-
-
Rerum omnium magister usus est
Меньше
Больше
-
Сообщений: 520
-
Спасибо получено: 0
-
-
-
-
-
13 года 1 мес. назад #1371
от Emik
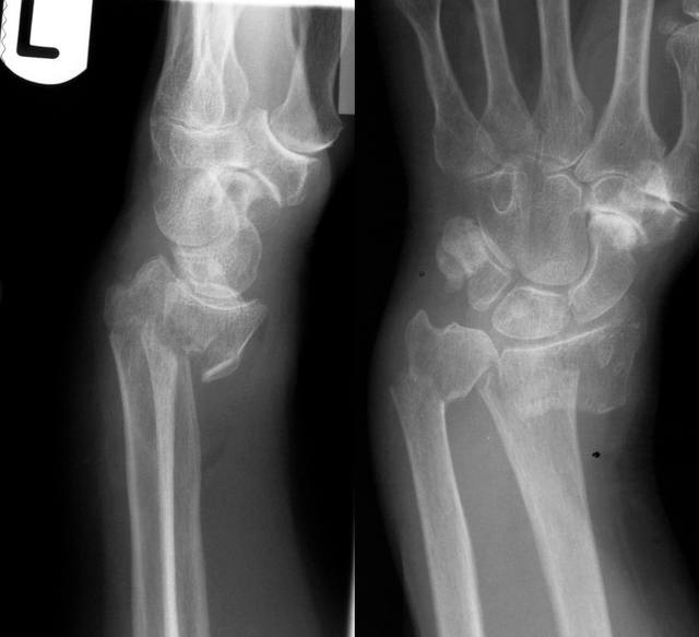
В очередной раз здравствуйте, уважаемые посетители нашего славного форума.<br /><br />Перед созданием очередного поста, неизменно посвященного вопросам травматологии и ортопедии, я задумался над его тематикой. Множество вопросов было поднято ранее, сделаны небольшие обзоры литературы, некоторые статьи переведены и адаптированы для русскоязычного пользователя.<br /><br />Но, кто является потребителем данной информации? Иногда создается впечатление, что форум стал пустынной обителью поисковых роботов...<br /><br />Может эта тема вызовет интерес, учитывая огромную распространенность подобного вида травмы? Каждый студент или молодой доктор-травматолог начинает изучение и погружение в специальность с самых частых и типичных случаев. <br /><br />Переломы дистального метаэпифиза лучевой кости относятся к наиболее частому виду травм в популяции и составляют до 15% от всех переломов костей конечностей. Большая часть из этих переломов - переломы со смещением и требуют активной тактики. При консервативном лечении (закрытой репозиции) только в 27-32% сохраняются приемлемые осевые и анатомические взаимоотношения, что имеет соответствующее отражение на качестве жизни пациентов. А поскольку этот вид травмы затрагивает людей как молодого, так и старшего возраста актуальность темы не снижается, а возрастает. <br /><br />В своем небольшом сообщении я бы не хотел сильно распространяться и пропагандировать какой-либо из методов лечения. <br /><br />Ограничимся перечислением и примерами наиболее характерных вариантов травмы:<br /><br />1) Pouteau - Colles: экстензионный перелом дистального метаэпифиза лучевой кости. Возникает от непрямого механизма травмы при падении на ладонь, находящуюся в положении тыльного сгибания, дистальный отломок смещается в тыльную и лучевую сторону, вызывая характерную «вилко-» или «штыкообразную» деформацию предплечья<br /><br />
<br /><br />2) Goyrand - Smith: сгибательный перелом, смещения отломков и механизм травмы обратны описанному ранее<br /><br />
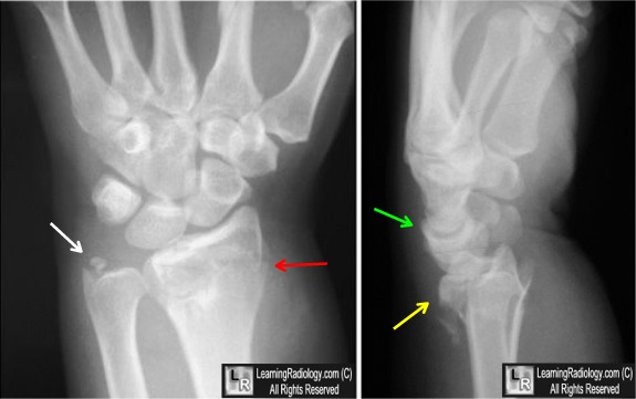
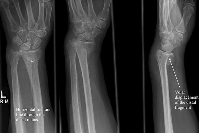
<br /><br />3) Barton: перелом описан в двух вариантах - волярном и дозальном и является частным случаем описанных выше переломов Смита либо Коллеса. Отличие - подвывих в лучезапястном суставе.<br /><br />Волярный Barton:<br /><br />
<br /><br />Тыльный Barton:<br /><br />
<br /><br /><br />4) Hutchinson - внутрисуставной перелом шиловидного отростка лучевой кости.<br /><br />
<br /><br /><br />Схематически эти типы переломов выглядят так:<br /><br />
<br />
<br /><br />Надеюсь этот небольшой экскурс по эпонимам принесет пользу нашим уважаемым пользователям. С удовольствием откликнусь на любые ваши комментарии и дополнения.<br />С уважением.
Последнее редактирование: от
Emik.
Пожалуйста Войти или Регистрация, чтобы присоединиться к беседе.
Меньше
Больше
-
Сообщений: 70
-
Спасибо получено: 0
-
-
13 года 1 мес. назад - 13 года 1 мес. назад #1372
от OlgaS
При консервативном лечении (закрытой репозиции) только в 27-32% сохраняются приемлемые осевые и анатомические взаимоотношения, что имеет соответствующее отражение на качестве жизни пациентов.
<br />насколько я знаю, такие переломы в основном лечатся консервативно: з. репозиция и гипсовая повязка...учитывая выше приведенные данные об осевых, анатомических взаимоотношениях и качестве жизни, невольно возникает вопрос: как правильно лечить??? слышала о спец пластинах, используемых при таких переломах, но только слышала...(((
Последнее редактирование: 13 года 1 мес. назад от
OlgaS.
Пожалуйста Войти или Регистрация, чтобы присоединиться к беседе.
-
Emik
-
Автор темы
-
Не в сети
-
Живу я здесь
-
-
Rerum omnium magister usus est
Меньше
Больше
-
Сообщений: 520
-
Спасибо получено: 0
-
-
-
-
-
13 года 1 мес. назад #1373
от Emik
Если будем вести речь о лечении переломов дистального метаэпифиза лучевой кости, то несмотря на "древность" темы и, казалось бы, простоту травмы нет четких критериев и согласия в научной среде.<br /><br />Принятие решения должно состоять из сочетания нескольких факторов:<br />- особенности пациента<br />- вид перелома<br />- стабильность перелома<br />- наличие сопутствующих повреждений.<br /><br />Однако если задать себе вопрос: что делать с переломом лучевой кости в "типичном месте" со смещением? Ответ скорее всего будет звучать так: "Вправить анатомично и фиксировать".<br /><br />Только здесь-то и возникают основные проблемы: что значит "анатомично" и как (чем) фиксировать?<br /><br />Наверняка, если вы спросите у своих старших коллег, они вам скажут, что видели многократно пациентов с многооскольчатыми внутрисуставными переломами лучевой кости, которые не доставляют им дискомфорта в повседневной жизни. И в то же время, умолчат об активных, молодых людях, которые имеют лишь качательные движения в радиокарпальном сочленении...<br /><br />По поводу "специальных" пластин для лечения таких переломов - да, такие существуют: преконтурированные ладонные (их аж 4 поколения) и тыльные пластины с угловой стабильностью. Но это уже наверное отдельная тема для разговора.<br /><br />А сейчас вопрос: с Вашей точки зрения, что является показанием для оперативного лечения перелома лучевой кости в "типичном месте" и каковы критерии нестабильности перелома?
Последнее редактирование: от
Emik.
Пожалуйста Войти или Регистрация, чтобы присоединиться к беседе.
-
Emik
-
Автор темы
-
Не в сети
-
Живу я здесь
-
-
Rerum omnium magister usus est
Меньше
Больше
-
Сообщений: 520
-
Спасибо получено: 0
-
-
-
-
-
13 года 1 мес. назад #1374
от Emik
Нашелся еще один пример интересного перелома: "штампованный" перелом дистального метаэпифиза лучевой кости (Die-punch):<br /><br />
<br /><br />
Последнее редактирование: от
Emik.
Пожалуйста Войти или Регистрация, чтобы присоединиться к беседе.
Меньше
Больше
-
Сообщений: 70
-
Спасибо получено: 0
-
-
13 года 1 мес. назад #1376
от OlgaS
А сейчас вопрос: с Вашей точки зрения, что является показанием для оперативного лечения перелома лучевой кости в "типичном месте" и каковы критерии нестабильности перелома?
<br />нестабильный перелом - перелом, при котором возможно смещение отломков кости, в данном случае лучевой кости, под действием обычных нагрузок...<br />для оперативного лечения, наверное

, необходимо учитывать возраст, род занятий пациента и, конечно, стабильность ;D
Последнее редактирование: от
OlgaS.
Пожалуйста Войти или Регистрация, чтобы присоединиться к беседе.
Меньше
Больше
-
Сообщений: 28
-
Спасибо получено: 0
-
-
13 года 1 мес. назад #1377
от ortoped1984
Тема крайне интересна и противоречива. Ответить на заданные вопросы трудно однозначно, тем более не имея большого опыта оперативного лечения данных переломов. Позволю себе процитировать фразу из книг "Principles and practice of wrist surgery" Dr. David J. Slutsky: <br /><br />
<br /><br />Проблема лечения данных переломов лежит в непонимании и незнании большинством врачей амбулаторного да и стационарного звена возможностей оперативного лечения и показаний для остеосинтеза. <br />Так, например мало кто из наших докторов знает про ладонный доступ.
Пожалуйста Войти или Регистрация, чтобы присоединиться к беседе.
-
Форум
-
Заболевания
-
Кисть
-
Переломы дистального метаэпифиза лучевой кости (Путеводитель по эпонимам)
Время создания страницы: 0.169 секунд