CME: Травма локтевого сустава
13 года 9 мес. назад #1016
от Emik
Emik создал эту тему: CME: Травма локтевого сустава
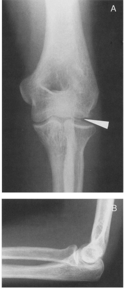
Женщина, 47 лет. Получила травму локтевого сустава в результате падения с высоты собственного роста, около 3 месяцев назад. На момент осмотра контуры локтевого сустава сглажены, беспокоит боль как при движениях, так и в покое. Объем движений резко ограничен и находится в пределах 40 градусов.<br /><br />Рентгенограммы:<br /><br />
<br /><br />
<br /><br />А сейчас вопрос: диагноз и тактика лечения?
Последнее редактирование: от Emik.
Пожалуйста Войти или Регистрация, чтобы присоединиться к беседе.
- ortoped1984
-
- Не в сети
- Осваиваюсь на форуме
-
Меньше
Больше
- Сообщений: 28
- Спасибо получено: 0
13 года 9 мес. назад #1017
от ortoped1984
ortoped1984 ответил в теме Re: CME: Травма локтевого сустава
Перелом головки лучевой и головчатого возвышения плечевой? Наверное ORIF?
Последнее редактирование: от ortoped1984.
Пожалуйста Войти или Регистрация, чтобы присоединиться к беседе.
13 года 9 мес. назад - 13 года 9 мес. назад #1020
от Emik
Emik ответил в теме Re: CME: Травма локтевого сустава
Ну, почти что правильно
<br />Только перелом головки (головчатого возвышения, capitulum) плечевой кости 1 типа.<br /><br />Hahn лечил 63 летнюю женщину с травмой локтевого сустава 3-х летней давности и впервые в мировой литературе описал эту травму в 1853 году. К сожалению, результат лечения был неудовлетворительный.<br /><br />В последующие годы была предложена классификация переломов головки плечевой кости, в которой было выделено 4 типа:<br /><br />1 тип (Hahn-Steinthal type) представляет собой, т. наз. "полный перелом", при котором головка типично смещается кпереди и вверх. Плоскость излома лежит во фронтальной плоскости, а костный фрагмент по сути представляет свободное тело в полости сустава.<br /><br />
<br /><br />
<br /><br /><br />2 тип (Kocher-Lorenz type) представляет собой "декортикацию" головки, когда костный фрагмент представлен преимущественно суставным хрящем.<br /><br />
<br /><br />3 тип (Broberg и Morrey) - оскольчатый перелом головки плечевой кости.<br /><br />4 тип McKee - перелом головки плечевой кости с переходом линии излома на блок.<br /><br />
<br /><br />
<br /><br />Через 3 месяца после перелома при традиционных рентгенограммах диагностика трудна. На КТ-сканах головка лучевой кости, как бы вклинивалась в зону перелома. Была выполнена открытая репозиция и фиксация перелома с помощью 2-х винтов Герберта. <br /><br />К сожалению, доктора, который пропустил при первом обращении пациентки этот перелом, сейчас ждет суд
Последнее редактирование: 13 года 9 мес. назад от Emik.
Пожалуйста Войти или Регистрация, чтобы присоединиться к беседе.
- ortoped1984
-
- Не в сети
- Осваиваюсь на форуме
-
Меньше
Больше
- Сообщений: 28
- Спасибо получено: 0
13 года 9 мес. назад #1023
от ortoped1984
ortoped1984 ответил в теме Re: CME: Травма локтевого сустава
У меня было 4 пациента, которым синтезировали обычным 2,7 мм винтом (заводили субхондрально в направлении сзади наперед). Ну это от бедности и перелом позволял. А так, конечно, винты типа Герберта.
Последнее редактирование: от ortoped1984.
Пожалуйста Войти или Регистрация, чтобы присоединиться к беседе.
13 года 9 мес. назад #1024
от Emik
Emik ответил в теме Re: CME: Травма локтевого сустава
А я одному из пациентов как-то удалил костно-хрящевой отломок (тип 2), а другому - 2.7 винт (кстати с одним из форумчан делали
). Последнее также из-за бедности нашей
Последнее редактирование: от Emik.
Пожалуйста Войти или Регистрация, чтобы присоединиться к беседе.
13 года 9 мес. назад #1025
от Leonid
НАША ЦЕЛЬ - НАНЕСТИ ПОЛЬЗУ И ПРИЧИНИТЬ ДОБРО!
Leonid ответил в теме Re: CME: Травма локтевого сустава
У меня было несколько случаев 1 типа. Фиксация 2-мя спицами. Спицы проводились спереди-назад. Спереди скусывались и заводились "заподлицо". Сзади оставлялись на коже или под кожей. Фиксация очень стабильная (спицы проводились не параллельно). Можно было в принципе давать ранние движения, но я держал в гипсовой повязке 7 недель. На всякий случай. Перестраховаться. <br />Да, головка плеча у человека находится "сверху", речь идёт о головчатом возвышении. Я так понимаю это для укорочения автор его так обозвал. Ну да все поняли.
НАША ЦЕЛЬ - НАНЕСТИ ПОЛЬЗУ И ПРИЧИНИТЬ ДОБРО!
Последнее редактирование: от Leonid.
Пожалуйста Войти или Регистрация, чтобы присоединиться к беседе.
Время создания страницы: 0.161 секунд